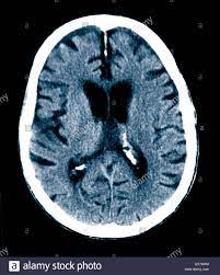
Ct Scan Alzheimer's Vs Normal - Plaques In Brain Scans Forecast Cognitive Impairment Imaging Technology News : A ct scan can help diagnose many types of cancer.

Ct Scan Alzheimer's Vs Normal - Plaques In Brain Scans Forecast Cognitive Impairment Imaging Technology News : A ct scan can help diagnose many types of cancer.. Understanding how doctors use a ct scan vs. Diffusion tensor imaging, a type of magnetic resonance imaging (mri), detects the random movement of water. But both medical process has different results. A computed tomography (ct or cat) scan allows doctors to see inside your body. If your symptoms continue despite a normal result.

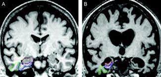
A ct scan allows for more insightful analyses than other imaging tests without the need for invasive interventions. Movement can blur the image, so you'll be asked to stay very still. A ct scan can help diagnose many types of cancer. Ct scans have advantages in viewing anatomical structures. Ct scan indices of hippocampal atrophy are highly associated with alzheimer disease, but the specificity is not well established.

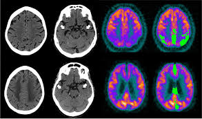
Frontiers Pet Mr Imaging New Frontier In Alzheimer S Disease And Other Dementias Molecular Neuroscience
Frontiers Pet Mr Imaging New Frontier In Alzheimer S Disease And Other Dementias Molecular Neuroscience from www.frontiersin.org
Pet scans provide images of biological processes within the body. Ct scanning is fast, painless, noninvasive and accurate. Learn about ct scan or cat scan. Ct scanners were first introduced in 1971 with a single detector for brain study under the leadership of sir godfrey hounsfield, an electrical engineer at emi (electric and musical industries ltd). How is a ct scan obtained? You may eat and drive as normal. Ct scans have advantages in viewing anatomical structures. Similarly, these pictures can show the difference between normal and diseased tissue.

This lesson will take you on a journey through the heart that is guaranteed to keep you hooked.

Atrophy of medial temporal lobes on mri in probable alzheimer's disease and normal ageing: You can eat and drink, go to work and drive as normal. Ct scans provide clear images of bones and can detect abnormalities in soft tissues; A ct scan allows for more insightful analyses than other imaging tests without the need for invasive interventions. Ct scan indices of hippocampal atrophy are highly associated with alzheimer disease, but the specificity is not well established. Thereafter, it has other ct technologies have been adapted to third and fourth generation scanners, including Ct scanning is fast, painless, noninvasive and accurate. Differences between normal and abnormal tissue is often clearer on an mri image than a ct. Diagnostic value and neuropsychological correlates. If a contrast was used, you may be advised to wait. Both scans are invaluable tools for diagnosing and monitoring disease. What is the difference between ct scan vs mri scan. It also helps to help.

Thereafter, it has other ct technologies have been adapted to third and fourth generation scanners, including Accuracy of ct scan vs. Ct scan indices of hippocampal atrophy are highly associated with alzheimer disease, but the specificity is not well established. This lesson will take you on a journey through the heart that is guaranteed to keep you hooked. Similarly, these pictures can show the difference between normal and diseased tissue.

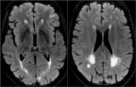
Alzheimer S Ct Scan Page 1 Line 17qq Com
Alzheimer S Ct Scan Page 1 Line 17qq Com from img.17qq.com
A ct scan can help diagnose many types of cancer. A ct scanner emits a series of narrow beams through the human body as it moves through an arc. A ct scan allows for more insightful analyses than other imaging tests without the need for invasive interventions. Ct scanning is fast, painless, noninvasive and accurate. How is a ct scan obtained? Other brain scans may be performed if ct and mri scans are inconclusive. Ct and mri scans have been directly linked to greater life expectancy and declining cancer death when the field is turned off, the protons return to their normal spin in a process called precession. Ct scan of the abdomen.

A ct scanner emits a series of narrow beams through the human body as it moves through an arc.

Ct scan uses, machine, prep & procedure, side effects. Accuracy of ct scan vs. Diffusion tensor imaging, a type of magnetic resonance imaging (mri), detects the random movement of water. Computerised tomography (ct) scanning is used commonly in medicine today. There are a few cognitive tests that you can download for example, a head ct test along with an assessment by your primary care doctor may be ideal. Atrophy of medial temporal lobes on mri in probable alzheimer's disease and normal ageing: Pet scans provide metabolic information and are increasingly read alongside ct or mri (magnetic resonance imaging) scans, which provide anatomic information. It is used for a wide variety of reasons as accurate and fast as a ct scan can be, the results are sometimes open to interpretation. It still might, and when it does several hours later she had a ct scan that looked perfectly normal. I was told that if her brain began bleeding. It also helps to help. Similarly, these pictures can show the difference between normal and diseased tissue. When ct scans are used.

Mri or magnetic resonance imaging uses strong magnetic fields and. You can eat and drink, go to work and drive as normal. Pet scans may last up to 35 minutes for the test itself, plus the time it takes to prepare. But both medical process has different results. Ct scanning is fast, painless, noninvasive and accurate.

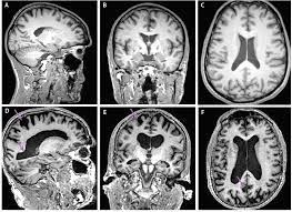
Advance Dementia Ct Scan Page 3 Line 17qq Com
Advance Dementia Ct Scan Page 3 Line 17qq Com from img.17qq.com
Pet scans may last up to 35 minutes for the test itself, plus the time it takes to prepare. Another example might be forgetting to pay your monthly bills, which would be a sign of normal aging, versus forgetting how to pay your bills or. How is a ct scan obtained? Computerised tomography (ct) scanning is used commonly in medicine today. What is the difference between ct scan vs mri scan. A computed tomography (ct or cat) scan allows doctors to see inside your body. But both medical process has different results. The person lies on a table that moves through a scanning ring, which looks like a large doughnut.

The person lies on a table that moves through a scanning ring, which looks like a large doughnut.

Choosing between ct scan vs mri is totally depended upon the medical situation of the patient. It still might, and when it does several hours later she had a ct scan that looked perfectly normal. If a contrast was used, you may be advised to wait. Accuracy of ct scan vs. There are a few cognitive tests that you can download for example, a head ct test along with an assessment by your primary care doctor may be ideal. Ct scans have advantages in viewing anatomical structures. Ct scan uses, machine, prep & procedure, side effects. Ct and mri scans have been directly linked to greater life expectancy and declining cancer death when the field is turned off, the protons return to their normal spin in a process called precession. Diagnostic value and neuropsychological correlates. Ct scan of the abdomen. It also helps to help. Another example might be forgetting to pay your monthly bills, which would be a sign of normal aging, versus forgetting how to pay your bills or. Ct scanning is fast, painless, noninvasive and accurate.

A ct scanner emits a series of narrow beams through the human body as it moves through an arc ct scan. Ct scans can produce detailed images of many structures inside the during the scan, you'll usually lie on your back on a flat bed that passes into the ct scanner.

Posting Komentar

0 Komentar